
Intertidal dwelling marine invertebrates have a slew of adaptations to support survival throughout daily and seasonal fluctuations. During heavy rainfall, estuarine top water can become quickly diluted, particularly during periods of low tide. Inversely, during high temperatures that typically occur in summer months, estuarine water can quickly increase in salinity during low tide due to evaporation. A dive into a burrow environment in these “stressful” estuarine systems reveals additional challenges that require unique physiological adjustments for an animal to thrive. Burrowing invertebrate organisms are indeed thrivinglike the burrowing ghost shrimpand often shape geological, chemical, and biological processes in soft sediment communities.
In fact, the sheer amount of sediment moved onto mudflat surfaces adversely affects aquaculture. In Washington Statethe nation’s largest producer of shellfish aquaculturethe movement of sediment to the surface by burrowing shrimp makes bottom-culture oyster beds unusable. The success of burrowing shrimp in these habitats has caused a significant economic crisis for the State.
Our current research, in collaboration with Dr. Jennifer Ruesink, Washington state partners, and shellfish growers, is aimed at uncovering the physiological networks that are unique to this pestiferous species, Neotrypaea californiensis, that may have the potential to be leveraged for their localized control.
mechanisms to sustain ion and water balance
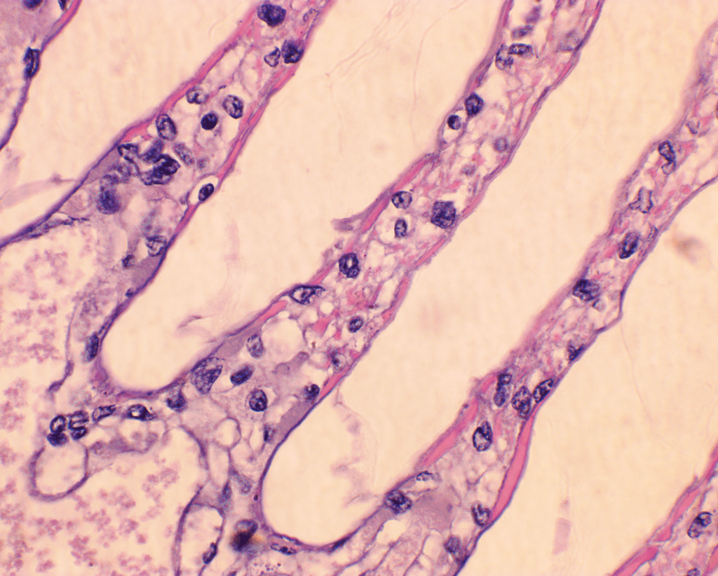
Burrowing ghost shrimp, like most burrowers, experience a variety of omnipresent stressors within the burrow that they must contend, such as low oxygen, high pH, and high nitrogenous metabolic waste (i.e. ammonia) build-up. We home in on a few key organsmainly the gills and the gutto advance understanding of the physiological mechanisms that underpin their impressive osmoregulatory and respiratory feats in the burrow. The gills of aquatic animals are a one-stop-shop for ion and gas transport and support the bulk of systemic salt and water balance requirements in many marine crustaceans. Here, we are working to identify physiological “weak points” by pushing shrimp to the extremes of their salinity, pH, and oxygen thresholds using an unlikely suspectbaking soda (sodium bicarbonate).




leveraging knowledge of ghost shrimp physiology to advance integrated pest management programs in Washington State.


Graduate student in the lab, Emma Guerrini Romano, has been hard at work in the laboratory and out in the field with growers and farm operators of Taylor Shellfish. Read here about hers and others recent efforts to control these pesky animals in a recent article she wrote for the Chinook Observer. Stay tuned for a soon-to-be preprint article! We are thankful to the Washington State Department of Agriculture and a Western SARE graduate research fellowship for funding this necessary research.
